トップ
コンセプト
当医院の紹介
診療科目
審美歯科
ホワイトニング
インプラント
一般歯科・歯周病
口腔外科
小児外科
予防歯科
診療案内
美しい歯のために
健やかな歯のために
アクセスマップ
リンク
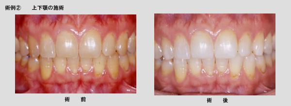
ホワイトニング
オフィスブリーチング
・・・歯科医院で行なう施術
ホームブリーチング
・・・家庭で行なう施術
©FURUKAWA Dental office
〒955-0084
新潟県三条市石上2-14-15
TEL:0256-36-7755
/
FAX:
0256-36-7751